Skip to content
Online Request
Preferred Language
English
Español
Time To Contact
Any Time
Morning
Afternoon
Choose Your State
Alabama
Alaska
Arizona
Arkansas
California
Colorado
Connecticut
Delaware
Florida
Georgia
Hawaii
Idaho
Illinois
Indiana
Iowa
Kansas
Kentucky
Louisiana
Maine
Maryland
Massachusetts
Michigan
Minnesota
Mississippi
Missouri
Montana
Nebraska
Nevada
New Hampshire
New Jersey
New Mexico
New York
North Carolina
North Dakota
Ohio
Oklahoma
Oregon
Pennsylvania
Rhode Island
South Carolina
South Dakota
Tennessee
Texas
Utah
Vermont
Virginia
Washington
West Virginia
Wisconsin
Wyoming
What would you like to receive information about?
*
Resin smile design
Ceramic smile design
Implants
Other
Are You Smoker
*
Yes
No
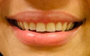
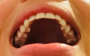
How to upload your photos?
It is important to us that you upload clear photos that capture all angles as seen on the models below. All photographs are confidential.
Photo °1
Maximum file size: 10 MB
Photo °2
Maximum file size: 10 MB
Photo °3
Maximum file size: 10 MB
Photo °4
Maximum file size: 10 MB
Photo °5
Maximum file size: 10 MB
Photo °6
Maximum file size: 10 MB
Request Consultation
EN
ES
EN