An SMS OTP (One Time Passcode) has been sent to ##phone##. Please enter the OTP in the field below to verify your phone.
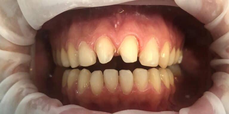
Carillas de Resina Compuesta se agregan al diente en capas.
Cada capa se endurece con luz antes de aplicar la siguiente. Cuando se logra la forma y el color finales, las carillas se pulen para dar una sonrisa de aspecto natural.
El Diseño de sonrisa de resina es un tratamiento conservador para conseguir un diseño de sonrisa con mínima invasión preservando el espacio biológico de los dientes y consiguiendo una estética armoniosa deseada por el paciente
– Espacios entre dientes
– Dientes rotos, astillados o agrietados
– Dientes muy manchados o coloreados
– Dientes torcidos o de forma irregular
– Remodelar los dientes desalineados
– Rellenos estéticamente desagradables


Solicítalo aquí y recibe una propuesta de la más alta calidad