Tratamiento de Carillas de Porcelana

Porcelain Veneers Requirements

Carillas de Porcelana

Carillas de Porcelana son una fina capa de porcelana que se adhiere a los dientes para restaurar una sonrisa de aspecto natural.

El Diseño de Porcelana es una alternativa para el diseño de sonrisa donde la preparación de los dientes es menos conservadora que el Diseño de Resina obteniendo de esta forma mayor durabilidad, mayor estética y conservación de la misma.

Las carillas se pueden utilizar como una solución cosmética para:

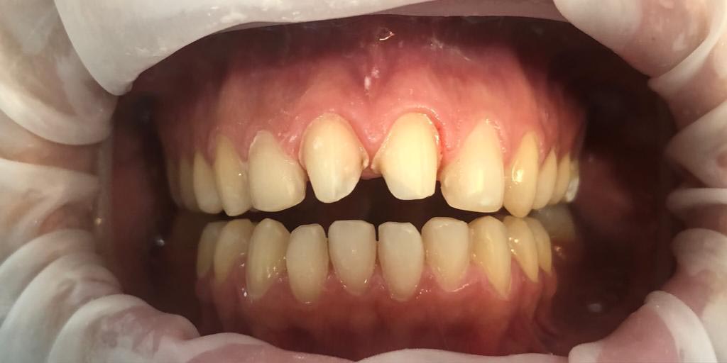
– Espacios entre dientes

– Dientes rotos, astillados o agrietados

– Dientes muy manchados o coloreados

– Dientes torcidos o de forma irregular

– Remodelar los dientes desalineados

– Rellenos estéticamente desagradables

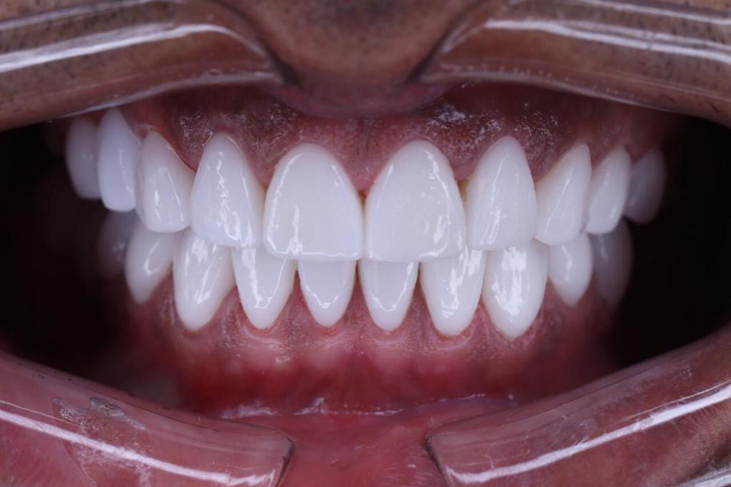
EJEMPLO ANTES / DESPUÉS

AFTER BEFORE
BEFORE
AFTER

Redesigned Smile

Better Life Quality

Restored Smile

More Confidence

Solicítalo aquí y recibe una propuesta de la más alta calidad

ES