Porcelain Veneers Treatment

Porcelain Veneers Requirements

Porcelain Veneers

Porcelain Veneers are a thin layer of porcelain that adhere to teeth to restore a natural looking smile.

The Porcelain Design is an alternative for smile design where the preparation of the teeth is less conservative than the Resin Design obtaining in this way greater durability, greater aesthetics and preservation of it.

Veneers can be used as a cosmetic solution for:

– Gaps between teeth

– Broken, chipped or cracked teeth

– Badly stained or coloured teeth

– Crooked or irregularly shaped teeth

– Reshape misaligned teeth

– Aesthetically displeasing fillings

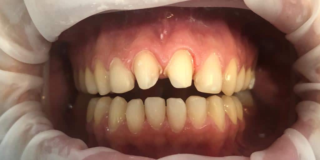
BEFORE / AFTER EXAMPLE

AFTER BEFORE
BEFORE
AFTER

Redesigned Smile

Better Life Quality

Restored Smile

More Confidence

Request it here and receive a top quality proposal

EN