An SMS OTP (One Time Passcode) has been sent to ##phone##. Please enter the OTP in the field below to verify your phone.
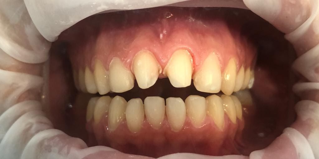
Composite Resin Veneers are added to the tooth in layers.
Each layer is hardened with light before the next is applied. When the final shape and colour is achieved, the Veneers are polished to give a natural looking smile.
The Resin Smile Design is a conservative treatment to achieve a smile design with minimal invasion preserving the biological space of the teeth and achieving a harmonious aesthetic desired by the patient
– Gaps between teeth
– Broken, chipped or cracked teeth
– Badly stained or coloured teeth
– Crooked or irregularly shaped teeth
– Reshape misaligned teeth
– Aesthetically displeasing fillings


Request it here and receive a top quality proposal